Kneecap Fractures (Patella Fractures)
The kneecap, or patella, is a round bone that sits in front of the knee joint. It helps the thigh muscles straighten the knee by acting like a pulley between the muscles and the shinbone.
What is a Kneecap Fractures (Patella Fractures)?
Causes, Symptoms, and Diagnosis
The knee is one of the most common joints to develop arthritis. When cartilage in the knee joint wears away, it leads to knee pain and stiffness. Because the knee supports much of the body’s weight, symptoms of knee arthritis get worse when standing and putting pressure on the knees.
Kneecap Fractures (Patella Fractures): Overview 
3m
Kneecap Fractures (Patella Fractures) Treatment
With and Without Surgery
Avoiding repeated and high-impact activities helps reduce stress at the knee joint. Physical therapy and pain-relieving methods can also help manage symptoms. In ongoing cases of knee arthritis where pain interferes with daily life, surgery may be considered.

Kneecap Fractures (Patella Fractures): Treatment Options 
3m
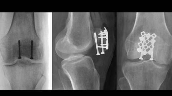
Kneecap Fractures (Patella Fractures) Surgery
Surgical Animation
When nonsurgical management does not provide effective pain relief for knee arthritis, a knee replacement is the recommended surgical option. This surgery replaces the ends of the bones of the knee joint with metal and plastic implants, which allows the knee joint to move better with less pain. Part or all of the knee joint can be replaced, depending on the location of the arthritis and other factors.
![]() Kneecap Fractures (Patella Fractures): Fixation With Screws and Braided Suture Animation 1m  | 
![]() Kneecap Fractures (Patella Fractures): Fixation With a Plate and Screws Animation 1m  | 
Kneecap Fractures (Patella Fractures) Surgery
Surgical Demonstration
During knee replacement surgery, the surgeon makes an incision along the front of the knee to access the surfaces of the knee joint. In some cases, a tibial wedge opening osteotomy may be performed where a wedge of bone is cut and removed to improve the alignment of the knee joint.

Kneecap Fractures (Patella Fractures): Fixation With a Plate and Braided Suture
2m
The Arthroscopy Association of North America
    
    Powered by:
    © 2023 Arthroscopy Association of North America. All rights reserved. Privacy Policy. Return Policy.
            
            

